What Happens During a Stroke?

Answer a few questions and we'll provide you with a list of primary care providers that best fit your needs.
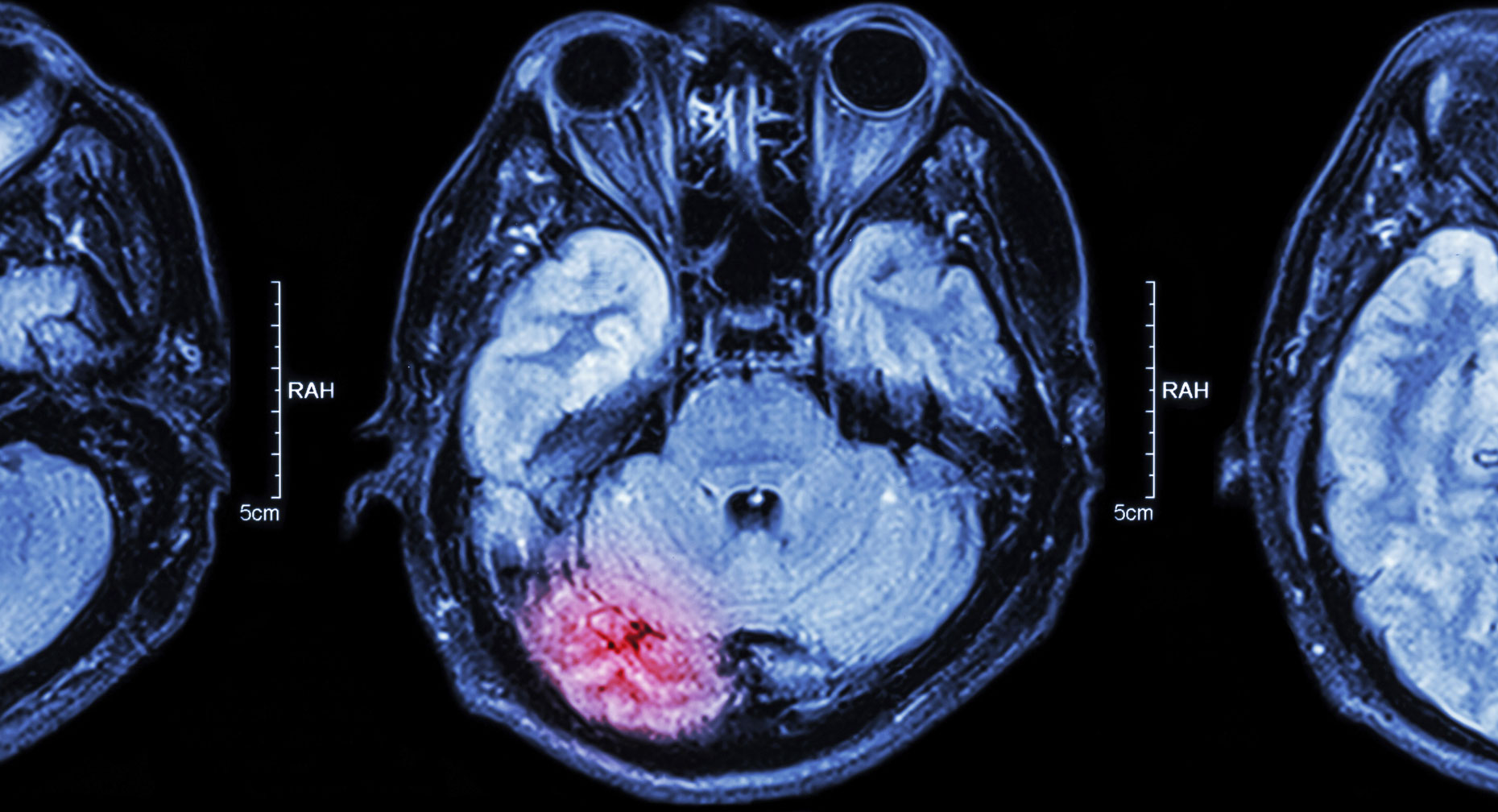
A stroke is loss of blood flow to part of the brain. It happens when a blood clot blocks an artery in the brain or when a bleed from a blood vessel in the head creates pressure in the brain.
In either case, brain cells die, and the brain is damaged temporarily or permanently. Depending on the area of brain deprived of oxygen, a person may experience loss of memory, movement, or speech, or other disabilities. If blood flow is restored or pressure is relieved quickly through medical treatment, the brain may fully recover.
Neurointerventionalist John Terry, MD, explains what a stroke is.
Click play to watch the video or read video transcript.
Stroke is among the top five causes of death and a leading reason for disability in Americans, according to the American Stroke Association. Close to 800,000 people in the U.S. have a stroke each year, and there are more than seven million stroke survivors in the U.S.
If blood flow is restored or pressure is relieved quickly through medical treatment, the brain may fully recover.
Two Types Of Stroke: Ischemic And Hemorrhagic
Ischemic stroke. This type of stroke occurs when a blood clot blocks the flow of blood to the brain. The clot may have traveled from another part of the body (called an embolus) or formed inside an artery that supplies blood to the brain (called a thrombus).
Strokes that result from a blood clot make up about 87 percent of all strokes, according to the American Stroke Association. Medications that dissolve a clot can prevent severe damage if given quickly after stroke symptoms appear.
Hemorrhagic stroke. When a blood vessel in the brain breaks or leaks due to weakness in the vessel wall, blood flows into or around the brain and creates swelling and pressure. This bleeding (or hemorrhage) damages brain cells and tissue.
Strokes from bleeding make up about 13 percent of all strokes, says the American Stroke Association, but they are the most deadly, causing about 40 percent of stroke deaths.
“When a loved one or a family member has a stroke, knowing which type is really important for the physician because the treatment and the care is really different,” says neurointerventionalist Bryan Ludwig, MD. Dr. Ludwig describes the two kinds of strokes.
Effects Of Stroke
Stroke affects the brain in different ways, depending on the part of the brain that is deprived of oxygen or put under pressure by excessive bleeding. The amount of time that passes before the stroke is treated also impacts the extent of damage to the brain.
A small stroke or one that is treated quickly may cause only minor problems, such as temporary weakness of an arm or leg. A more serious stroke may cause permanent paralysis on one side of the body or loss of speech or memory. Some people recover completely from strokes, but many other survivors will have some type of disability.
Answer a few questions and we'll provide you with a list of primary care providers that best fit your needs.
Source: American Stroke Association; John Terry, MD, Clinical Neuroscience Institute; Bryan Ludwig, MD, Clinical Neuroscience Institute


